Książki to inwestycja w mózg, empatię i spokój odkryj naukowe dowody na ich moc
- Zaledwie 6 minut czytania redukuje stres nawet o 68%, skuteczniej niż inne formy relaksu.
- Regularna lektura (min. 3,5 godziny tygodniowo) może wydłużyć życie średnio o 2 lata.
- Czytanie intensywnie trenuje mózg, stymuluje neuroplastyczność i obniża ryzyko demencji o 2,5 raza.
- Literatura piękna rozwija empatię i inteligencję emocjonalną, ucząc rozumienia innych.
- Wzbogaca słownictwo i poprawia kompetencje komunikacyjne, co przekłada się na sukcesy w życiu.
- Czytanie przed snem (książka papierowa/czytnik) znacząco poprawia jakość wypoczynku.
Krótka diagnoza: Jak (nie)czytamy w Polsce? Statystyki na start
Zacznijmy od faktów. Według raportu Biblioteki Narodowej za 2022 rok, zaledwie 34% Polaków przeczytało co najmniej jedną książkę w ciągu roku. To statystyka, która, szczerze mówiąc, budzi pewien niepokój. Mimo to, jest światełko w tunelu: ponad 70% wszystkich czytelników w Polsce to osoby młode. To pokazuje, że potencjał jest ogromny, a korzyści płynące z czytania są uniwersalne i dostępne dla każdego, niezależnie od wieku czy preferencji.
Książka vs. Ekran: Nierówna walka o naszą uwagę
W dzisiejszych czasach, gdy nasza uwaga jest rozproszona przez niezliczone powiadomienia, krótkie filmiki na TikToku czy scrollowanie mediów społecznościowych, książka wydaje się reliktem przeszłości. Nic bardziej mylnego! Książka wymaga od nas głębszego zaangażowania i skupienia. To nie jest pasywna konsumpcja treści, lecz aktywny proces, który oferuje zupełnie inne, trwalsze korzyści dla naszego rozwoju poznawczego i emocjonalnego. To właśnie w tym tkwi jej prawdziwa siła.

Mózg na siłowni: Jak czytanie zmienia Twoją głowę?
Trening neuronów: Jak lektura buduje nowe połączenia w mózgu?
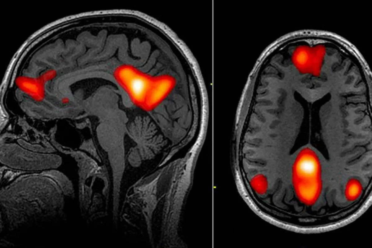
Wyobraź sobie swój mózg jako mięsień, który potrzebuje regularnego treningu. Czytanie to jedna z najlepszych form takiej aktywności. Badania z wykorzystaniem rezonansu magnetycznego (fMRI) jednoznacznie pokazują, że podczas lektury aktywuje się wiele obszarów mózgu, a wzmożona łączność neuronalna utrzymuje się nawet przez kilka dni po zakończeniu książki. To nie tylko stymuluje neuroplastyczność, czyli zdolność mózgu do tworzenia nowych połączeń, ale także wzmacnia istniejące. To fascynujące, jak prosta czynność może tak intensywnie wpływać na naszą strukturę poznawczą.
Tarcza przed demencją: Czytanie jako sprawdzony sposób na spowolnienie starzenia się umysłu
Jeśli martwisz się o przyszłość swojego umysłu, mam dla Ciebie świetną wiadomość. Regularne czytanie to potężna tarcza przed spadkiem funkcji poznawczych. Badania wskazują, że aktywność czytelnicza może opóźnić ten spadek nawet o 32%. Co więcej, osoby regularnie czytające mają 2,5 raza mniejsze ryzyko rozwoju demencji i choroby Alzheimera w porównaniu do tych, którzy nie czytają. To nie jest tylko kwestia "bycia mądrym" to realna inwestycja w długowieczność i sprawność naszego najważniejszego organu.
Od słowa do myśli: Wpływ książek na pamięć, koncentrację i logiczne myślenie
Kiedy zanurzasz się w świat książki, Twój mózg pracuje na najwyższych obrotach. Musisz śledzić fabułę, zapamiętywać postaci, ich motywacje i skomplikowane wątki. Ten proces to intensywny trening dla Twojej pamięci. Jednocześnie, konieczność utrzymania uwagi na tekście przez dłuższy czas znacząco poprawia koncentrację. Wreszcie, analizowanie relacji przyczynowo-skutkowych i przewidywanie rozwoju wydarzeń rozwija Twoje zdolności logicznego myślenia. To kompleksowy pakiet korzyści, który trudno przecenić.
Książki jako symulator życia: Rozwiń empatię i inteligencję emocjonalną
Wejdź w czyjeś buty: Jak literatura uczy nas rozumieć innych?
Literatura piękna to moim zdaniem jeden z najlepszych "symulatorów społecznych", jakie znamy. Kiedy czytamy powieść, wchodzimy w skórę bohaterów, przeżywamy ich radości, smutki, dylematy. Ten proces znacząco rozwija naszą "teorię umysłu" zdolność rozumienia, że inni ludzie mają własne myśli, uczucia i przekonania, które mogą różnić się od naszych. Identyfikacja z postaciami, nawet tymi, z którymi początkowo się nie zgadzamy, uczy nas empatii i tolerancji. To bezcenna lekcja w coraz bardziej spolaryzowanym świecie.
Mapa ludzkich emocji: Lepsze radzenie sobie z uczuciami dzięki historiom bohaterów
Książki to także mapa ludzkich emocji. Autorzy z niezwykłą precyzją potrafią opisać całe spektrum uczuć od euforii po głęboką rozpacz. Obcując z tak różnorodnymi emocjami przedstawionymi w literaturze, uczymy się je rozpoznawać, nazywać i, co najważniejsze, lepiej sobie z nimi radzić. Zaczynamy rozumieć, że nasze własne doświadczenia nie są unikalne, a to daje poczucie ulgi i pozwala spojrzeć na własne uczucia z większym dystansem.
Od czytelnika do lepszego rozmówcy: Budowanie relacji poprzez zrozumienie
Rozwinięta empatia i lepsze zrozumienie złożonych relacji międzyludzkich, które nabywamy dzięki czytaniu, mają bezpośrednie przełożenie na nasze umiejętności komunikacyjne. Stajemy się lepszymi słuchaczami, bardziej świadomymi rozmówcami. Potrafimy trafniej odczytywać intencje innych, co pozwala nam budować głębsze, bardziej autentyczne relacje zarówno w życiu prywatnym, jak i zawodowym. To umiejętności, które są w cenie w każdej dziedzinie życia.
Supermoc komunikacji: Jak czytanie wzbogaca słownictwo i ułatwia życie?
Słowa, które otwierają drzwi: Przewaga bogatego języka w szkole, pracy i życiu prywatnym
Czytanie to absolutnie najskuteczniejszy sposób na poszerzanie zasobu słownictwa. Jest znacznie bardziej efektywne niż codzienna rozmowa czy oglądanie telewizji. Osoby, które regularnie czytają, dysponują bogatszym językiem, co przekłada się na ich zdolności wysławiania się, precyzyjnego formułowania myśli i argumentowania. To ma ogromne znaczenie w edukacji dzieci, którym czyta się regularnie, osiągają lepsze wyniki w szkole, nawet w przedmiotach ścisłych, takich jak matematyka. W pracy, bogate słownictwo i umiejętność klarownej komunikacji to klucz do sukcesu w negocjacjach, prezentacjach i budowaniu profesjonalnego wizerunku.
Sztuka argumentacji: Jak czytanie uczy formułowania myśli i przekonywania?
Kiedy czytamy, obcujemy z różnymi stylami pisania, strukturami argumentacji i sposobami przedstawiania faktów. To uczy nas, jak logicznie konstruować własne wypowiedzi, jak budować przekonujące argumenty i jak efektywnie komunikować swoje stanowisko. Zauważyłem, że osoby, które dużo czytają, często potrafią lepiej wyrazić swoje zdanie, unikać nieporozumień i prowadzić konstruktywne dyskusje. To jest prawdziwa sztuka, którą można opanować poprzez lekturę.
Twój osobisty azyl: Czytanie jako antidotum na stres i niepokój
Zaledwie 6 minut, które zmienia wszystko: Naukowe dowody na potęgę czytania w walce ze stresem
Żyjemy w czasach, gdzie stres jest wszechobecny. Szukamy różnych sposobów na relaks, ale czy wiesz, że książka może być Twoim najskuteczniejszym sprzymierzeńcem? Badania naukowe, w tym te przeprowadzone na University of Sussex, dowodzą, że zaledwie 6 minut czytania może zredukować poziom stresu nawet o 68%! To wynik lepszy niż słuchanie muzyki (61%), spacer (42%) czy picie herbaty (54%). Dla mnie to dowód na to, że czytanie to nie tylko przyjemność, ale i potężne narzędzie do dbania o zdrowie psychiczne.
Książka zamiast tabletu: Przepis na zdrowy sen i lepszy poranek
Wielu z nas ma nawyk przeglądania smartfona czy tabletu przed snem. Niestety, emitowane przez ekrany światło niebieskie zaburza produkcję melatoniny, hormonu snu. Rozwiązaniem jest powrót do tradycji: czytanie książki papierowej lub e-czytnika bez emisji światła niebieskiego. Taki rytuał przed snem znacząco poprawia jego jakość, obniża ciśnienie krwi i tętno, pomagając organizmowi się wyciszyć i przygotować do głębokiego wypoczynku. Spróbuj, a zobaczysz różnicę w jakości poranka.
Oderwij się od problemów: Bezpieczna ucieczka w świat wyobraźni
Codzienne problemy potrafią przytłaczać. Czytanie oferuje nam coś więcej niż tylko relaks to zdrowa i bezpieczna ucieczka w świat wyobraźni. Zanurzając się w inną rzeczywistość, na chwilę zapominamy o własnych troskach, dajemy sobie przestrzeń na oddech i regenerację. To jak mini-wakacje dla umysłu, które możemy odbyć w dowolnym momencie i miejscu.
Nie tylko intelekt: Zaskakujące korzyści z bycia molem książkowym
Czytanie przedłuża życie? Co mówią na to badania?
To brzmi jak science fiction, ale badania naukowe wskazują na fascynującą korelację. Okazuje się, że regularna lektura, zwłaszcza minimum 3,5 godziny tygodniowo, jest skorelowana z dłuższym życiem. Potencjalnie może je wydłużyć średnio o 2 lata. To chyba najlepszy argument, by wziąć do ręki kolejną książkę!
Kreatywność bez granic: Jak książki inspirują do twórczego myślenia?
Różnorodne historie, pomysły, perspektywy i światy przedstawione w książkach to prawdziwa kopalnia inspiracji. Czytanie stymuluje wyobraźnię, otwiera umysł na nowe możliwości i zachęca do twórczego myślenia. Często po lekturze czuję, że mam w głowie mnóstwo nowych pomysłów i rozwiązań, które mogę zastosować w swojej pracy czy życiu prywatnym.
Ciekawsze CV i... większa atrakcyjność? Nieoczywiste społeczne benefity czytania
Oprócz wszystkich wymienionych korzyści, czytanie ma też swoje nieoczywiste, społeczne benefity. Osoba czytająca często postrzegana jest jako bardziej inteligentna, ciekawa świata i otwarta. Co więcej, badania pokazują, że czytanie książek może zwiększać atrakcyjność w oczach płci przeciwnej. Myślę, że to całkiem niezły bonus do wszystkich innych zalet!
Jak zacząć czytać i utrzymać ten nawyk?
Znajdź "tę jedyną": Jak dobrać książkę, od której nie będziesz mógł się oderwać?
- Zacznij od ulubionych gatunków: Nie zmuszaj się do czytania klasyki, jeśli wolisz fantastykę, kryminały czy romanse. Ważne, by lektura sprawiała Ci przyjemność.
- Sprawdź bestsellery i nowości: Często to, co jest popularne, ma w sobie "to coś", co wciąga.
- Pytaj znajomych o polecenia: Osoby o podobnych gustach mogą wskazać Ci prawdziwe perełki.
- Nie bój się krótkich form: Opowiadania, zbiory esejów czy reportaże to świetny start, by nie zniechęcić się zbyt grubą książką.
Od kilku stron do regularnego nawyku: Metoda małych kroków w budowaniu rutyny czytelniczej
- Zacznij od 15 minut dziennie: To niewiele, ale pozwala zbudować nawyk bez poczucia przytłoczenia. Z czasem naturalnie wydłużysz ten czas.
- Wyznacz stałą porę na lekturę: Może to być rano przy kawie, w drodze do pracy, czy wieczorem przed snem. Rutyna jest kluczem.
- Zawsze miej książkę przy sobie: Nigdy nie wiesz, kiedy nadarzy się okazja, by przeczytać kilka stron w kolejce, poczekalni czy podczas krótkiej przerwy.
- Stwórz przyjemne otoczenie: Wygodny fotel, dobre oświetlenie, ulubiony napój wszystko to sprzyja lekturze.
Przeczytaj również: Laila Shukri: Kiedy nowa książka? Premiera i fakty na 2026!
Papier, czytnik czy audiobook? Wybierz format idealny dla siebie
Nie ma jednej idealnej formy czytania każdy ma swoje preferencje. Książka papierowa to klasyka, oferująca zmysłowe doświadczenie i brak rozpraszaczy. E-czytnik to wygoda i mobilność, idealny do podróży, z możliwością dostosowania wielkości czcionki. Natomiast audiobooki to fantastyczna opcja dla osób, które są w ciągłym ruchu, jeżdżą samochodem, ćwiczą lub wykonują prace domowe pozwalają "czytać" w sytuacjach, gdy tradycyjna lektura jest niemożliwa. Wybierz to, co najlepiej pasuje do Twojego stylu życia i ciesz się światem książek!